Understanding Bilaterally Symmetrical Resorption
A Case from St. Petersburg Endodontics
At our endodontic practice in St. Petersburg, Florida, we often treat patients with root resorption, a condition where parts of a tooth’s structure start to break down. In most cases, this happens to a single tooth. But sometimes, we see something more unusual: bilaterally symmetrical resorption. That means the same teeth on both sides of the mouth are affected, often in similar ways.
What Happened in This Case?
Over several years, we followed a patient with resorption in the same three teeth on both the left and right sides. Here’s how it progressed:
-
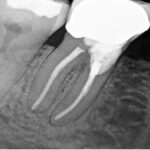
- The first molars on both sides had the largest areas of damage. The resorption was located on the cheek side (buccal) of the mesial root and extended into the furcation, the space where the roots meet. Because of the size of the lesions, root canal treatment (RCT) was necessary for both molars.
- The bicuspids (premolars) and cuspids (canines) also showed signs of resorption, but the damage was much smaller. These teeth did not need root canals.
Treatment Timeline
- October 14th – Resorption repairs were done on teeth #27, #29, and #30
- December 21st – A follow-up scan showed that the molar was still doing well, and the bicuspids looked healthy
- December 27th – Endodontic treatment (root canal) was performed on tooth #19, along with surgical repairs on teeth #19, #20, and #22
Diagnostic Imaging with a Full Mouth Scan
We used a full-mouth scan to monitor this case. While this gave us a broad view, it doesn’t provide the same fine detail as a limited field of view scan. There were some artifacts (image distortions) from previous repairs on the right side, but the left side images were clearer.
Why Does Bilaterally Symmetrical Resorption Happen?
When resorption happens on both sides of the mouth in a similar pattern, it raises the possibility of a genetic link. Other possible causes include:
- Past trauma to the teeth
- Effects from orthodontic treatment (braces)
- Individual factors that make certain teeth more vulnerable
Why This Matters for Patients
If you’re in St. Petersburg and notice changes in your teeth—like sensitivity, unusual wear, or pain—it’s important to see an endodontist. Catching resorption early can help save your teeth. In some cases, like this one, root canal therapy is the best way to protect the tooth from further damage.
How We Can Help
At our St. Petersburg practice, we specialize in advanced root canal treatments and managing complex cases like resorption. Whether you need a routine root canal or specialized care, our goal is to help you keep your natural teeth healthy for as long as possible.
Schedule a Consultation
If you have concerns about root resorption or have been told you might need a root canal, contact our office today. We’re here to answer your questions and provide expert care.
This article covers:
-
- root resorption
- endodontics in St. Petersburg FL
- root canal treatment
- dental resorption repair
- tooth resorption causes
- saving natural teeth
- advanced root canal therapy
