Have you ever wondered what happens when a tooth suffers trauma in childhood? At St. Petersburg Endodontics, we recently encountered a fascinating case that showcases the power of advanced root canal therapy and how it can save a tooth decades after injury.
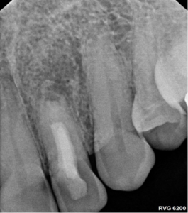
Our patient, a 57-year-old physician, came to us with a tooth that had likely experienced trauma when he was just seven or eight years old. Despite having undergone endodontic treatment in his youth, the tooth presented with some concerning issues:
- An apical lesion (an area of infection at the root tip)
- Immature root form
- Unusual placement of the previous treatment’s access filling
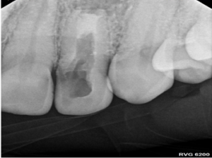
To address these complex issues, we employed a series of cutting-edge techniques for his re-treatment root canal:
- Removal of old materials: We carefully removed the previous filling and root canal material.
- LASER irrigation: This advanced cleaning method helps eliminate bacteria and debris from the root canal system.
- Calcium hydroxide medication: We applied this antimicrobial agent to further disinfect the tooth.
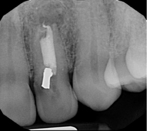
- Biodentine obturation: After three weeks, we filled the lower portion of the root with Biodentine, a bioactive cement that promotes healing.
- Fiber post placement: To reinforce the tooth structure, we bonded a fiber post in place
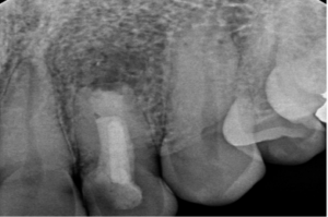
After 11 months, we’re thrilled to report significant improvements:
- Resolution of the apical lesion
- Acceptable healing around the root tip
- No tenderness or discomfort
While the outcome isn’t perfect, it’s a remarkable success given the tooth’s history and condition.
Why Choose Endodontic Treatment?
This case illustrates why seeking specialized endodontic care can make all the difference:
- Expertise in complex cases: Endodontists are equipped to handle challenging situations that general dentists might not encounter regularly.
- Advanced technology: Tools like LASER irrigation and bioactive materials can improve treatment outcomes.
- Long-term tooth preservation: With proper care, treated teeth can potentially last a lifetime.
When to See an Endodontist
Consider scheduling a consultation with an endodontist if you experience:
- Persistent tooth pain
- Sensitivity to hot or cold
- Swelling or tenderness in the gums
- Darkening of a tooth
Remember, early intervention can often save your natural tooth and prevent more extensive procedures down the line.
At St. Petersburg Endodontics, we’re committed to providing state-of-the-art endodontic care to Pinellas County. Don’t let tooth pain or old dental injuries hold you back – contact us today to learn how we can help preserve your smile for years to come.
